微信扫一扫

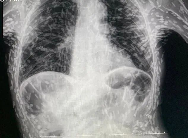
据巴西媒体报道,一名男病患日前因持续咳嗽长达2个多月就医,结果经检查竟发现,他体内各部位已爬满寄生虫,且X光上所照出的数百个白点,全都是寄生虫卵的钙化残壳,而这张恐怖影像在推特上曝光后随即引发热议,让人看得起鸡皮疙瘩。

据这名圣保罗州Botucatu医院任职的男医师Vitor Borin de Souza表示,事后经化验证实患者感染了囊虫病,这是一种由猪肉绦虫幼体所引发的病症。
Vitor 进一步解释,患者之所以会感染此病,最常见的感染途径是吃了不洁食物误食虫卵,而白色点点其实是幼虫已经钙化的包囊,对人体健康并不具威胁,在大部分的情况下,患者无需接受特别治疗,但若寄生虫跑到大脑、髓质、眼睛等部位恐引发致命感染,除了会引发头痛、脑积水、癫痫等症状外,没及时治疗甚至还恐因此丧命,所以为了慎重起见, 事后已安排患者接受头部MRI检查。
根据世界卫生组织(WHO)估计,在世界某些地区,有高达70%的癫痫病例是因为脑中出现猪肉绦虫幼虫包囊所引起。据统计,每年约有250万人感染猪肉绦虫,最常见于亚洲、南美洲和东欧的贫困地区。